

NEBNext Ultra II RNA 文库制备试剂盒能够用更低起始量的 RNA 构建高质量的文库。文库制备每一个步骤中的试剂都经过优化。(货号:E7770S;规格:24 rxns )
现超低价出售,仅少量现货,效期至01/31/2026。抢完即止。
2.2ml 96 孔深孔板,透明,无菌包装,96 方形孔,V形底,低吸附
(货号:268-DPVS96-C-2200-S-L ;规格:5板/包,10包/箱 )
现超低价出售,仅少量现货,效期至9/13/2025。抢完即止。
升级款透明聚酯纤维封板膜/PlateSeal Film, Clear Polyester (货号:PS-PETST2-100 ;规格:100 case )
现超低价出售,仅少量现货,效期至10/31/2025。抢完即止。
采用新一代离子交换技术,高产量制备转染级别的质粒DNA。可纯化高分子量质粒载体。柱过滤器可同步完成裂解液过滤和质粒吸附,产量达500ug
1.无需氯仿,无需分相,操作简单; 2.更少DNA/protein污染,更少的苯酚残留,RNA质量高; 3.适合多种样本(动植物细胞、组织、体液;酵母;细菌),RNA得率高;室温离心 。
使用DNA结合柱去除基因组DNA,相对于使用DNA酶去除基因组DNA的试剂盒,DNA去除效果更好,速度更快。
NucleoSpin Tissue升级版:更快的裂解时间,更高的DNA得率,更低的实验成本。
利用特有的阴离子交换树脂技术从样本中纯化DNA,片段可长达200kbp。适用的样本类型较广,包括植物、动物、细胞、酵母、血液等。
可快速安全可靠地从150ul无细胞体液如血清血浆中提取病毒RNA。
NEB EpiMark重亚硫酸盐转化试剂盒,提供全部试剂方便实验。处理后样本可进行扩增。
EpiMark甲基化DNA富集试剂盒,选择性地结合CpG甲基化的双链DNA,高灵敏度精确,2小时内就能完成4步富集反应。
针对细胞或组织的Covaris truChIP®染色质剪切试剂盒,提供完整可优化的通用protocol,可应用于所有ChIP实验中。
CST PathScan单甲基化组蛋白H3 (Lys4) ELISA 试剂盒,用于人体内单甲基化-组蛋白H3含量的检测,双抗夹心法,96个tests
与传统高去污剂超声法相比, CST “新一代” 超声法和酶解法 SimpleChIP®体系均采用特制去污剂体系,结合染色质交联等流程优化,最大程度保存 DNA -蛋白间相互作用,减少抗原表位丢失并保护染色质的完整性。
#9005 是一套完整的 ChIP 试剂盒。它包含对细胞或组织样品进行多达 30 次染色质免疫沉淀分析所需的缓冲液和试剂。该试剂盒可用于 ChIP-seq。
EnGen™ sgRNA Synthesis Kit, S. pyogenes是 sgRNA 合成试剂盒。利用试剂盒提供的试剂和使用者自己设计的特异性 DNA 序列,单管反应 30 分钟就能获得大量 sgRNA 。
Cas9 核酸酶,S. pyogenes,是RNA介导的核酸酶,可催化双链 DNA 的特异位点切割。在PAM(Protospacer Adjacent Motif)上 NGG 处,靶序列 3 个碱基内进行切割。
EnGen ® Lba Cas12a(Cpf1) 核酸酶识别富含 T 的 TTTN PAM 序列。所需 gRNA短,仅40-44 个碱基。其有两个核定位信号,提高运输到细胞核的效率。
EnGen 基因编辑突变检测试剂盒为检测基因编辑效率提供一整套的试剂。基于 T7 核酸内切酶的基因编辑检测。
T7 核酸内切酶 ,识别并切割不完全配对 DNA、十字型结构 DNA、Holliday 结构或交叉 DNA、异源双链 DNA 或者以更慢的速度切割含切刻的双链 DNA。
TtAgo 是一种来自革兰氏阴性嗜热栖热菌的原核 argonaute 蛋白,在 5′-磷酸化单链 DNA(16 – 18 nt)指导下发挥DNA 介导的核酸内切酶作用。
HiSribe T7 高效 RNA 合成试剂盒利用 T7 RNA 聚合酶进行高效灵活的体外转录,该试剂盒可转录合成各种类型 RNA。
可在体外高效合成多种用途的 RNA。预混液剂型便于快速的建立反应,其中 DNase I 和 LiCl 可去除 DNA 模板和快速纯化 RNA。
包含独立包装的 NTP 和 CleanCap Reagent AG,适用于全部/部分修饰 NTPs 替换,试剂盒总产量为 1.8 mg mRNA。
小鼠 RNase 抑制剂是鼠源重组蛋白,分子量为 50 kDa,可以特异性抑制 RNase A、B 和 C 活性。
牛痘病毒加帽体系利用牛痘病毒加帽酶及其他组份,将 7-甲基鸟苷帽结构(Cap 0)加到 RNA 的 5´ 末端。
该酶可在特定位点切开DNA,产生可体外连接的DNA片段。
试剂盒中提供预混液,混合有快速、强力的 Bst 2.0 WarmStart® DNA 聚合酶 和 WarmStart RTx 反转录酶,两种酶均经过基因工程改造,提高了 LAMP 反应的效率。
预混液经过优化,在特殊 Low-buffer 中含有可视化的 PH 值指示剂及 Bst 2.0 WarmStart DNA 聚合酶 和WarmStart RTx 反转录酶。
和野生型 Bst DNA 聚合酶相比,该酶可有效耐受高浓度扩增抑制剂且具有显著增强的反转录酶活性等。
在低于更适反应温度下可以抑制酶活性。实验操作可以在室温下进行,并可以消除非特异性反应产物,提高反应效率。
和野生型 Bst DNA 聚合酶,大片段相比,该酶可有效提高扩增速度、产量、耐盐性和热稳定性等。
该溶液包含可视化的 pH 指示剂,使检测 LAMP 和 RT-LAMP 的结果判定更加简单、快捷。预混液中包含的 dUTP 和 UDG 可有效减少反应间的残留污染。
不含可检测到的DNase和RNase活性,具有高强度、低背景等优点,因其电渗(EEO)较低,故DNA/RNA在凝胶中的迁移速度更快,从而可以更快捷的完成电泳实验!
Q5 DNA 聚合酶携带具有持续合成能力的 Sso7d DNA 结合域,能够提高反应速度、保真度和稳定性。
该酶不仅能够催化平齐末端或粘性末端之间的连接,还可以修复双链 DNA、RNA 或 DNA/RNA 杂交双链中的单链切刻。
subMIDI多用途水平电泳仪槽体和附件均为聚碳酸酯注塑成型,具有良好的耐高温耐酸碱腐蚀等特性,极大的提高了水平电泳仪的寿命。
胶回收与PCR 产物回收纯化二合为一,高效回收大于50bp的片段。10分钟完成,省时省力。回收率高,洗脱体积小(15uL),从而可获得高浓度的DNA回收产物。
可快速,小规模制备高达50μg测序级别高纯度的质粒DNA。25分钟内可完成6个Miniprep。载量高达50ug。
能检测某个细胞群的早期凋亡细胞。细胞同时用 PI 和膜联蛋白 V-FITC 染色能指示出较晚阶段的凋亡和早期坏死。该试剂盒提供的试剂足以进行 100 次检测(250 μl 检测量)。
检测细胞代谢活性的比色检测试剂盒。在检测期间,黄色四氮唑盐 XTT 在代谢活跃的细胞中被脱氢酶还原成高度着色的甲臜染料。
使用 CFSE标记混合细胞群中的靶细胞,并使用 7-AAD标记死细胞。该试剂盒相对于传统51 Cr释放测定法进行了改进,以评估细胞介导的细胞毒性。
LDH 细胞毒性检测试剂盒可用于定量测量对化学化合物的细胞毒性,以及使用偶联的两步比色反应检测细胞介导的细胞毒性。
CST Cyclic GMP XP 分析试剂盒:竞争性酶联免疫试验,用以分析目标细胞和组织的cGMP水平。样本中cGMP与HRP标记的cGMP竞争结合固定在96孔板上的抗cGMP XP兔单克隆抗体。
CST Resazurin 细胞活性检测试剂盒:荧光法检测细胞的代谢活性。通过活细胞代谢中的脱氢酶,蓝色无荧光刃天青试剂被还原为高度荧光类试卤灵。
EGF荧光探针,就是IRDye红外标记的重组EGF,可以用于在实体瘤模型中监测EGFR的过度表达
2-DG(葡萄糖类似物)荧光探针可以对糖酵解率异常升高的细胞进行成像
RGD荧光探针靶向的是细胞表面的整合素受体,用于监测肿瘤血管发生过程。
IRDye 800CW 近红外荧光染料可用于蛋白质和抗体标记,或具有高标记密度的核酸应用。NHS 酯反应基团提供了标记伯胺和仲胺的功能,例如蛋白质中的赖氨酸残基。
钙螯合物荧光探针对骨结构进行成像
聚乙二醇近红外荧光染料,可在血管中持续存留,用于观测肿瘤、炎症等疾病过程中的血管渗漏变化。长时长代谢性质,血液中存留半衰期约为20小时。
Nutri-Fly BF果蝇标准培养基适合大小规模果蝇培养,美国印第安纳大学Bloomington果蝇中心的培养基配方,使用方便,营养均衡,批次间的一致性高,得到更稳定的结果数据
Genesee果蝇琼脂,100目颗粒细度,每批次可追溯质量控制,为稳定性提供保证
Genesee即用型果蝇培养基,含有霉菌抑制剂,只需要加水,无需加热,几分钟完成培养基的配制
Genesee果蝇麻醉枪内置气体阀门,可以控制CO2输入量 有两种规格可选
Flugs细果蝇管塞,醋酸纤维素果蝇瓶/果蝇管塞子比棉花和脱脂棉,尤其比纸盖和泡沫塞更能有效阻滞螨虫,能减少蒸发保鲜果蝇饲料
终极果蝇板为白色,能够提供最高的对比度,方便您的操作,独特的无边缘设计使收集果蝇更方便。您也可以通过更换果蝇板上表面将终级果蝇板升级为黑色防静电果蝇板。
Monarch PCR & DNA纯化试剂盒
Monarch 质粒小提试剂盒
Monarch DNA胶回收试剂盒推荐!
NucleoSpin RNA快速提取试剂盒
NucleoZol RNA通用提取试剂
NucleoBond超纯去内毒素质粒中抽试剂盒
Bst 2.0 DNA 聚合酶是 Bacillus stearothermophilus DNA 聚合酶 I,大片段(Bst DNA 聚合酶,大片段)的同源物,并由电脑模拟设计完成。Bst 2.0 DNA 聚合酶具有 5´→3´ 的聚合酶活性和强链置换活性,但没有 5´→3´ 核酸外切酶活性。和野生型 Bst DNA 聚合酶,大片段相比,该酶可有效提高扩增速度、产量、耐盐性和热稳定性等。
Q5热启动超保真DNA 聚合酶
WarmStart LAMP试剂盒 (DNA & RNA)
Luna通用qPCR预混酶
Luna通用一步法RT-PCR
Luna通用探针法qPCR预混酶
NEBNext Ultra™II DNA文库制备试剂盒
NEBNext文库定量试剂盒
NEBNext Direct癌症热点集合
truXTRAC FFPE DNA提取试剂盒
NEBNext 系列产品提供用于 Illumina 平台 RNA 测序文库制备所需的试剂, 极大的简化了测序文库制备流程,适用于低起始量样本和多种 RNA 样本类 型,并大幅度地提高了文库产量和质量。NEBNext RNA 文库制备试剂盒适用 于不同起始量(单个细胞至微克级总 RNA)和不同质量(高质量和低质量) 的样本。也可选择 Small RNA 文库制备产品。 我们持续完善上游 RNA 去除试剂,实现从人、小鼠、大鼠和细菌样本中去 除 rRNA 以及从血液中去除珠蛋白 mRNA。为了满足您能同时操作更多样 本,我们不断更新检索引物(barcodes),同时基于 qPCR 的文库定量试剂盒 可实现精准的文库定量。
NEBNext Ultra II 定向RNA文库制备for Illumina
FastScan™ Phospho-Akt (Ser473) ELISA 试剂盒是一种夹心酶联免疫吸附剂检测 (ELISA) 试剂盒,能检测在 Ser473 位点被磷酸化的 Akt 的内源水平。
Annexin V-FITC Early Apoptosis Detection Kit 能让研究人员检测某个细胞群的早期凋亡细胞。膜联蛋白 V-FITC 接合蛋白会结合表达磷脂酰丝氨酸(一种早期凋亡标记物)的细胞表面。细胞用碘化丙啶 (PI) 染色,PI 是一种无法渗透细胞的 DNA 染料,能指示坏死细胞。细胞同时用 PI 和膜联蛋白 V-FITC 染色能指示出较晚阶段的凋亡和早期坏死。该试剂盒提供的试剂足以进行 100 次检测(250 μl 检测量)。
两支抗体打包,1支是磷酸化/剪切型的抗体,1支是总蛋白抗体。质量上乘,更划算。
Apoptosis Antibody Sampler Kit 提供了经济的方法以检测激活和未被激活的半胱天冬酶。该试剂盒包含了够量的一抗和二抗的,可对每种抗体进行两次蛋白质印迹法实验。
Immunofluorescence Application Solutions Kit 旨在便利地提供对细胞培养物 (IF-IC) 或冷冻样品 (IF-F) 进行免疫荧光分析所需的主要支持试剂。该试剂盒中的试剂已使用我们的 IF 批准抗体充分验证,并且用该试剂盒的建议实验步骤可顺利进行,以确保精确和可重复的结果。该试剂盒包含的试剂足以进行 100 次检测,每次 100 µl 检测量。
CST免疫组化配套试剂盒方便
从样品制备到检测,进行更高效和更划算的蛋白质印迹实验所需的一切现在均可在一个试剂盒中找到。我们使用这些试剂获得了蛋白质印迹实验结果,现在您也可以。
裂解细胞组织;提取全蛋白,包括膜蛋白、核蛋白等。
Protease/Phosphatase Inhibitor Cocktail (100X) 为一种特制的多成分混合抑制物,其中的抑肽酶、苯丁抑制素、E64 和亮抑酶肽可抑制多种内源性蛋白酶;而氟化钠、焦磷酸钠、β-甘油磷酸和原钒酸钠,则抑制多种内源性丝氨酸/苏氨酸以及酪氨酸磷酸酶。该混合物不含 EDTA(一种金属蛋白酶抑制剂),它与一些下游应用不相容(即蛋白芯片、2D 电泳等)。如要将 EDTA 用作蛋白酶抑制剂,则可添加到细胞裂解缓冲液中,其终浓度为 5mM。
增强!三彩蛋白质常规分子量标准
最高315kda,大分子量准确指示,8条带
ICW二抗!CST抗小鼠DyLight™ 800 4X PEG
CST SimpleChIP Plus酶解ChIP磁珠试剂盒
CST SimpleChIP Plus酶解ChIP琼脂糖微珠试剂盒
CST ChIP-Grade Protein G磁珠
Protein A/G PLUS-Agarose超性价比
SantaCruz Protein G PLUS-Agarose高性价比
CST 6-Tube磁力分离架,适用磁珠偶联抗体
焦亡抗体套装提供一种经济合算的方法来检测用于读取细胞焦亡的蛋白。
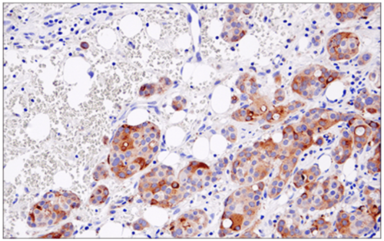
COL1A1 (E8F4L) XP® Rabbit mAb 可检测 COL1A1 总蛋白的内源水平。
Gasdermin D (E9S1X) Rabbit mAb 可检测 Gasdermin D 总蛋白的内源水平。该抗体可识别在 caspase-1 热解过程中产生的 30 kDa 氨基末端片段。
仅当在 Asp275 位点裂解时,Cleaved Gasdermin D (Asp275) Rabbit mAb 才可检测 Gasdermin D 蛋白的内源水平。
Phospho-RIP (Ser321) (E9K2A) Rabbit mAb 仅在 Ser321 位点被磷酸化时才可识别小鼠 RIP 蛋白的内源水平。
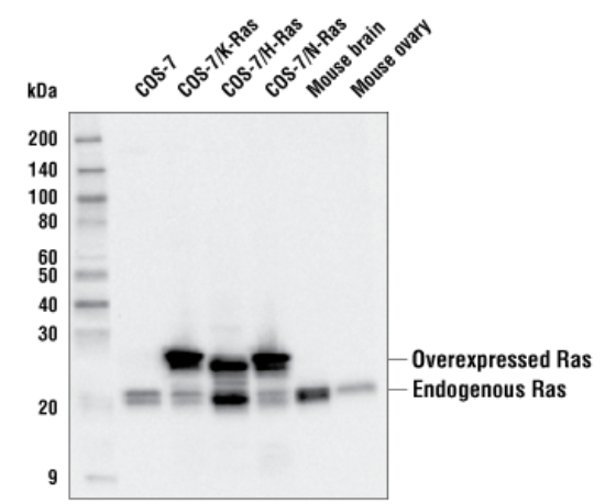
Ras (E8N8L) XP® Rabbit mAb 可检测 K-Ras、H-Ras 和 N-Ras 总蛋白的内源水平。
0.2 ml 高透明度PCR管
0.2 ml八联排PCR 管清晰高透明
0.1 ml 96孔PCR板
0.2 ml 96孔无裙边PCR板
0.1 ml 96孔PCR板(Roche)
0.2 ml 96孔半裙边PCR板(黑)
多功能涡旋混合器
Moxi Z 细胞计数仪
单道移液器,可整支高温消毒,枪身PVDF材料,长时间紫外照射不会损坏。人体工程学的精湛设计,自然地握手持柄和操作,无需大力无论是设定容量,移液还是推卸吸嘴,整个过程动作顺畅,适合每天进行的日常工作。容量调整由原来的一点调整改为两点调整,避免在调整容量过程中夹住手套。锨钮左右各3mm的自由行程,吸、排液时不会改变也设定吸取量。
单道移液器,可整支高温消毒,枪身PVDF材料,长时间紫外照射不会损坏。人体工程学的精湛设计,自然地握手持柄和操作,无需大力无论是设定容量,移液还是推卸吸嘴,整个过程动作顺畅,适合每天进行的日常工作。容量调整由原来的一点调整改为两点调整,避免在调整容量过程中夹住手套。锨钮左右各4mm的自由行程,吸、排液时不会改变也设定吸取量。
单道移液器,可整支高温消毒,枪身PVDF材料,长时间紫外照射不会损坏。人体工程学的精湛设计,自然地握手持柄和操作,无需大力无论是设定容量,移液还是推卸吸嘴,整个过程动作顺畅,适合每天进行的日常工作。容量调整由原来的一点调整改为两点调整,避免在调整容量过程中夹住手套。锨钮左右各6mm的自由行程,吸、排液时不会改变也设定吸取量。
单道移液器,可整支高温消毒,枪身PVDF材料,长时间紫外照射不会损坏。人体工程学的精湛设计,自然地握手持柄和操作,无需大力无论是设定容量,移液还是推卸吸嘴,整个过程动作顺畅,适合每天进行的日常工作。容量调整由原来的一点调整改为两点调整,避免在调整容量过程中夹住手套。锨钮左右各5mm的自由行程,吸、排液时不会改变也设定吸取量。
1.5 mL风冷型组织细胞破碎仪
单道移液器,可整支高温消毒,枪身PVDF材料,长时间紫外照射不会损坏。人体工程学的精湛设计,自然地握手持柄和操作,无需大力无论是设定容量,移液还是推卸吸嘴,整个过程动作顺畅,适合每天进行的日常工作。容量调整由原来的一点调整改为两点调整,避免在调整容量过程中夹住手套。锨钮左右各6mm的自由行程,吸、排液时不会改变也设定吸取量。
BG-QspinTM7000微型离心机7000rpm/2500x g 超静音 0.2-2ml及8连管
BG-QspinTM10000微型离心机,10000rpm/5400x g,0.2-2ml及8连管适用,无碳刷免维护电机,开盖即停保护,价格超实惠
单道移液器,可整支高温消毒,枪身PVDF材料,长时间紫外照射不会损坏。人体工程学的精湛设计,自然地握手持柄和操作,无需大力无论是设定容量,移液还是推卸吸嘴,整个过程动作顺畅,适合每天进行的日常工作。容量调整由原来的一点调整改为两点调整,避免在调整容量过程中夹住手套。锨钮左右各7mm的自由行程,吸、排液时不会改变也设定吸取量。
BG-gdsUVIEW紫外分析仪
Baygene subMIDI多用途水平电泳仪
Baygene verMINI迷你垂直电泳仪
BG-Power600通用电泳仪电源
BG-subMINI迷你水平电泳仪
可一次做306个样品,专为多样品、高通量分析而研发的产品。26孔孔电泳梳,支持8道和12道排枪加样,极大的方便了大规模PCR产物分析。超长的凝胶托盘,成为Southern杂交、Northern杂交、RFLP、分离质粒DNA限制性消化产物的理想选择。
采用铝合金板+缓冲液散热,具有较高的散热效果。68孔、100孔鲨鱼齿梳子,能满足所有应用的需要。独特的散热设计,能保持均衡的温度,并消除“微笑”现象。位于密封上层缓冲液槽的排水口能方便地排出缓冲液。
20-200ul 12道移液器
20-200ul八道移液器
20-200ul单道移液器
BG-easyPIPET单道移液器精准轻巧顺滑
单道移液器,可整支高温消毒,枪身PVDF材料,长时间紫外照射不会损坏。人体工程学的精湛设计,自然地握手持柄和操作,无需大力无论是设定容量,移液还是推卸吸嘴,整个过程动作顺畅,适合每天进行的日常工作。容量调整由原来的一点调整改为两点调整,避免在调整容量过程中夹住手套。锨钮左右各6mm的自由行程,吸、排液时不会改变也设定吸取量。
单道移液器,可整支高温消毒,枪身PVDF材料,长时间紫外照射不会损坏。人体工程学的精湛设计,自然地握手持柄和操作,无需大力无论是设定容量,移液还是推卸吸嘴,整个过程动作顺畅,适合每天进行的日常工作。容量调整由原来的一点调整改为两点调整,避免在调整容量过程中夹住手套。锨钮左右各7mm的自由行程,吸、排液时不会改变也设定吸取量。




























































































































